-
허리 통증과 뻣뻣함
-
엉덩이 및
다리 저림과 통증 -
허리 뒤로 젖힐 시
심한 통증 -
다리 감각 둔화 및
가늘어짐 
보행의 어려움

다리 전체 힘 빠짐
허리 통증과 뻣뻣함
엉덩이 및
다리 저림과 통증
허리 뒤로 젖힐 시
심한 통증
다리 감각 둔화 및
가늘어짐

보행의 어려움

다리 전체 힘 빠짐
선천적으로 좁은 척추관
노화로 인한 퇴행성 변화
척추 주변 인대의
신경 압박
척추전방위증에 의한
협착
허리디스크 vs 척추관협착증
자생의 비수술 치료는 수술 치료와 비교해 통증 및 기능 개선에서 큰 차이가 없었으며, 통증 완화와 장기 효과면에서 우수한 것으로 나타났습니다.
치료 후 허리 통증 개선 및
3년 후에도 호전 유지
치료 후 다리 통증 개선 및
3년 후에도 호전 유지
치료 후 허리 기능 호전 및
3년 후에도 호전 유지
치료 3년 후에도
환자 92.5%가 '호전'되었다고 응답
치료 3년 후에도
환자 89.4%가 '만족'했다고 응답
청파전H 투여 후, 척수 조직 내
염증성 물질 및 통증 감소
청파전H 투여 후, 척추관협착증으로 떨어진
보행 기능 정상에 가깝게 회복
신바로약침 투여 후,
염증 물질 및 통증 감소 확인
신바로약침 투여 후,
척추관협착증으로 떨어진 보행 능력 회복
신바로약침 투여 후,
척추관협착증으로 떨어진 감각 이상 개선
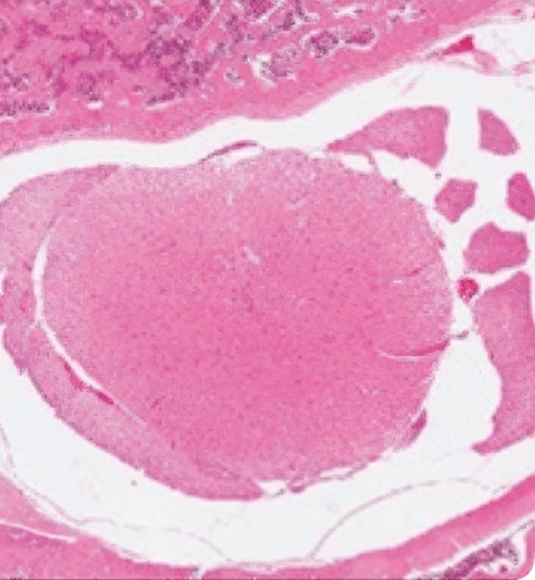
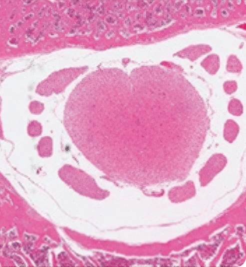
정상 쥐
척추관협착증 유도 쥐
신바로2 약침 투여 쥐
신바로약침 투여 시, 손상된 척추관 및
척수 형태가 정상에 가깝게 회복
Before
After
극심한 요통 및 하지 방사통으로 보행이 어려워 일상생활이 불가능한 상태로 내원하셨습니다.
2024.06.04 ~ 2024.10.22
Before
After
허리 통증과 양측 둔부부터 허벅지, 발목 부위 저리는 증상으로 내원하셨습니다.
2025.05.09 ~ 2025.12.18
Before
After
허리가 너무 아프고 다리가 저려요.
2018.04.23 ~ 2025.12.05
Before
After
허리 골반 통증과 왼쪽 다리가 저리면서 아리다.
2025.05.20 ~ 2025.11.22
Before
After
허리 골반이 아프고 오른쪽 종아리 바깥쪽으로 저리고 감각이 이상하였다.
2023.09.14 ~ 2024.10.02
Before
After
허리 통증 및 왼쪽 다리 근력저하 감각저하로 일상생활이 불가능했습니다.
2024.05.18 ~ 2025.12.03
Before
After
우측 허리부터 엉치까지 아프고, 다리 저림이 지속적으로 심하게 느껴져요.
2024.04.06 ~ 2025.02.22
Before
After
좌측 대퇴부에서 엄지발가락 쪽으로 저려요.
2024.11.25 ~ 2025.09.24
Before
After
엉치에서 좌측 다리까지 통증, 저림으로 움직일 수가 없어요.
2024.08.03 ~ 2025.05.02
Before
After
우측 엉치에서 복숭아뼈 위까지 저리고 힘이 안들어가요.
2025.06.24 ~ 2025.11.20
치료기간

염좌/경증 디스크1~2주 이내
조직 손상이 적은 단순 염좌 및 경증 디스크에 대한 1~2주 내 통증 완화 목표 치료

일반 디스크2~3주 이내
2~3주 내 통증 감소 후 손상 조직 회복과 강화를 위한 단계별 치료

중증 디스크2개월 이내
광범위한 조직 손상에 따른 일정 기간 이상 치료 및 2개월 내 일상 복귀 목표 치료

협착증, 퇴행성디스크 등 중증 척추 질환2개월 이상
일상생활에 지장 없는 통증 수준 유지를 위한 집중 치료 후 지속적인 관찰 치료
오랜 시간 동안 진행되어온 퇴행성 척추질환(퇴행성디스크, 척추관 협착증), 뼈의 구조적인 이상(척추분리증, 척추전방전위증, 척추이분증) 등은 병의 진행 상태에 따라 치료 기간이 달라질 수 있습니다.
건강가이드
더보기